大野歯科医院のコンセプト

他の歯科医院とはこんなところが違います

専門知識と技術に精通した天然歯の番人

「天然歯の番人」として、明治の時代から4代にわたり、
皆様のお口の健康を守るお手伝いをさせて頂いてきました。

どんなに腕の良い歯科医師が治療をしたとしても、神様が創った天然の歯には到底かないません。

『生涯にわたって天然歯を守ることの大切さ』を、歯科医師としてのDNAに刻みこんで、歯科医療を行っております。

重症の歯周病の患者さんを
積極的に受け入れます

歯周病に悩む患者さん、重症の歯周病で他院では諦められてしまった患者さん、そんな方々の治療を積極的に行います。

嬉しいことに北欧式の治療、治療と予防が一体となった決めの細かい治療により、これまで何人もの患者さんが、健康を取り戻し、歯を失う不安から開放されてきました。

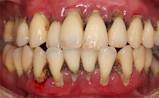
重症な歯周病患者さんの口腔内写真
40代女性
初診時、歯の動揺な出血を訴えて来院。
口の中全ての歯が重症の歯周病を発症
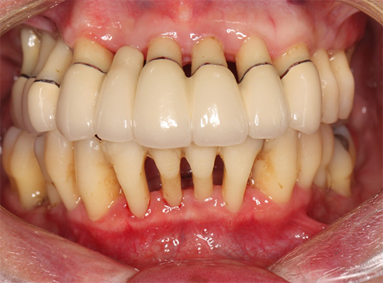
治療終了後7年経過した口腔内写真
治療終了時

歯周病による感染や炎症をブラッシングと歯周病治療を行い、動揺する歯を固定して機能の回復を行った。この治療は、患者さんのブラッシングが十分でないと、逆に進行してしまい、また精度の高いブリッジを作らないと、早期に再治療や最悪、抜歯になってしまう可能性がある。

幸い、この患者さんは非常に治療に協力していただき、また3ヶ月ごとに来院してチェックとクリーニングをお手伝いしている。

治療費の合計 およそ90万円
治療期間 およそ10ヶ月

ひょっとしたら皆さんが来院されたとき、すっかり元気になった元患者さんに出会うかもしれません。

義歯を使わなくとも生涯過ごせるように、
ぎりぎりまで考えます

義歯(入れ歯)というものは、患者さんにとってはとても苦痛です。生活の質をとても下げてしまうものでしょう。ぎりぎりまで入れ歯なしで過ごせるように、治療やアドヴァイスに時間をかけております。

そして義歯から脱出した患者さんが
これまで何人もいます

また、初診時に義歯を使っていた患者さんでも、場合によっては義歯から脱出することは可能です。
それは残っている歯を使ったり、インプラント(人工歯根)を用いたりすることもありますが、実は・・・なーんにもしなくとも噛み合わせの回復と訓練で義歯から自由になった方が何人もいらっしゃいます。

義歯を使用したほうが良い場合は、
その作成に時間をかけます

ただし義歯のほうがメリットが大きい場合は義歯を選択します。
これまで、大野歯科医院ではじめて義歯を使うことになった、という患者さんはとても少ないのですが、古い義歯ではまったく噛めないという方がほとんどです。

ただし、時間と費用はかかるでしょう。義歯は一種の人工臓器と考えておりますので、その作成にはとても大変だからです。食べる楽しみを失い、失った時間を取り戻すために、手間暇は惜しみません。

病気の再発を徹底的に防ぎます

そもそもなぜ歯が悪くなったのか?を考えながら、生涯にわたってその状態を維持できるように、計画をたて、アドヴァイスを差し上げます。

コンセプトメニュー