義歯を入れないという選択(短縮歯列について)

歯科コラム

義歯を入れないという選択―「短縮歯列」ってなんだろうか?

人間の歯は奥歯から失われることが多い。奥歯は最も清掃が難しく、治療も難しく、また歯の中でも最も力が掛かるためである。奥歯が無くなると、食事が困難になる。僕らは通常、義歯、ブリッジ、そしてインプラントなどの治療を行い噛み合わせの回復を図ってきた。

スウェーデンの病院時代クリニックでは週2回の症例検討会が行われていたが、当初驚いたことの一つに奥歯を失ってもそれを補う治療(補綴(ほてつ)治療という)を行わないケースが間々あることであった。短縮歯列(Shortened Dental Arch)という概念である。

これは1980年代にオランダの研究者が提唱した概念で、簡単に言うと奥歯を失っても、不自由しなければ何もしなくていいのではないか?という考え方である。

確かに患者さんの経過を観察していると、奥歯が多少なくとも、物を噛むのに不自由しない人がいる。

また義歯に適応できず、「外したままにしておいたら不自由しなくなった」、という患者さんも案外多い。義歯は異物感が大きく、かえって食事の邪魔になるという患者さんもいる。

日本の歯科大学の教育では、これまではそういった患者さんにも義歯を入れないと、他の歯に負担が大きくなったり、噛み合うはずの歯や隣の歯が動いたり、顎の関節に問題が起こりやすいのでなるべく義歯を装着するように教えてきたし、患者さんへの説明もしてきた。

短縮歯列のまま長期の臨床経過をまとめた研究がいくつかある。以前に学会からの依頼で、それまでの臨床経過に関する論文をまとめたことがある。欧州のグループからほとんど発表されているデータであるので、対象患者さんはオランダ人やアフリカ人。

そのデータをみると、多少奥歯を多少失ってあまり問題は起きないとしている。

それなら義歯なんて入れなくとも、またインプラントや大きなブリッジの治療なんて受けなくともいいじゃない・・・・僕もそう思う。

日本の専門家には日本人の食事のパターンや解剖を考えるとやはり奥歯まであったほうがいい、との意見もあるのも事実。ただ医療においてはすべて同じ原則で対処することは不可能で、また完全無欠の方程式も存在しない。

我々は短縮歯列でなんの問題も起こらない人も診ているし、残った歯への負担が増して、問題が起こる人も経験している。だから「診断」と「経過観察」が必要になるのだ。歯科関係者も誤解しがちであるが、短縮歯列で経過を診るということは決して歯科医師の仕事が減るということではない。

その状態を維持することがとても大変だからだ。咬合学、歯周病学、歯内療法学、そしてカリオロジー(虫歯学)の専門知識と技術が必要になってくる。その状態が維持されているかを定期健診のたびにチェックするからである。

場合によってしばらくしてから追加治療や必要な予防処置を講じていかなければならない。我々の「診断能力」が問われてくる。

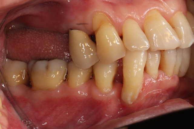
短縮歯列治療後の写真
数年前、上の奥歯を重症の歯周病で抜歯。その後、専門医の治療を希望し当院を受診。治療後の定期健診を受けている。上の奥歯がないが、食べることに問題ないため、このまま経過観察。残った歯の管理、特に噛み合わせのチェックに注意しながら見守っている

残念ながら今の日本の医療制度では「専門的な知識をもって、何もしないと判断すること」に対し何も評価がない。

また患者さん側も「何もしてくれない」と不満に思ってしまうことがあるようだ。もしこのHPを観た皆さんが、義歯を入れなくともいいのでは?という疑問や状況に置かれていたら、決して自分の判断だけではなく、是非複数の専門家の診察を受けて意見を聞いてほしい。

短縮歯列の考え方は日本ではまだ比較的新しい考え方で、関係者でも意見が分かれるトピックだということも申し添えておく。

参考文献
大野純一:治療のゴールとしての短縮歯列(SDA) 日本補綴歯科学会雑誌題47巻5号736-744(2003)

歯科コラム一覧